sesión de casos miércoles 10 de Abril (LFO)

caso 1  (JAHB). 

Mujer de 67 años . Acude a Urgencias por cuadro de dolor abdominal de 10 días de evolución con fiebre alta y afectación del estado general


 










caso 2  (EMM). 

Mujer de 71años . Acude a Urgencias por cuadro de dolor abdominal  con distensión abdominal , estreñimiento y vómitos de 3 días de evolución.












nuevos recursos añadidos al blog







En lugar destacado en la barra lateral del blog os dejo un enlace directo a Up to date , página  a la que se accede a través de la Biblioteca virtual del SSPA y que contiene actualizaciones recientes  de cualquier tema de medicina. Muy aconsejable .


Os dejo también un tutorial sobre el uso de esta base de datos elaborado  por profesionales de  la BVSSPA






nuevos recursos






En este interesante artículo, presentado como taller en el último Congreso Nacional de Radiología de Granada , Joaquim Piqueras nos muestra como utilizar el pendrive como un verdadero equipo portátil en el que llevar nuestros programas favoritos (en su versión portable) para no depender de los programas instalados en los equipos de nuestro centro de trabajo  u otros lugares en los que los necesitemos . Otra herramienta más para añadir a nuestro ya voluminoso "Kit del radiólogo".

P.D. En próximas ediciones prometo añadir nuevos elementos como por ejemplo mobiliario portable (sillas ultraplegables) y pequeños equipos radiológicos (miniestaciones de trabajo , microRM)  que tanto escasean en nuestro lugar de trabajo .




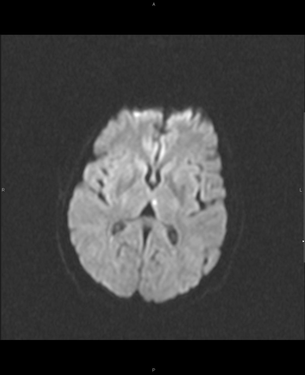
sesión de casos miércoles 6 de marzo 2013 BFR ( IPP)


Paciente con disminución de fuerza en hemicuerpo  derecho y  disminución del nivel de conciencia. TC de cráneo normal.