caso 1
Paciente de 57 años con accidente de
tráfico y fractura de miembro superior intervenida, con AP de
alergia a múltiples medicamentos tras intervención presenta edema
generalizado. Solicitan ecografía
Diagnóstico: Aneurisma de aorta
abdominal infrarrenal con signos de rotura contenida.
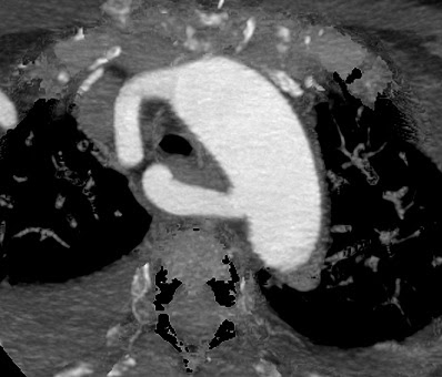
caso 2
Paciente
de 29 años de edad politraumatizada tras sufrir un accidente de
tráfico, estable hemodinámicamente.
Diagnóstico:
Pseudoaneurisma aórtico.
caso 3
Paciente
de 68 años de edad con ictus isquémico múltiple en territorio
vertebrobasilar, dudosa estenosis vertebral derecha.
Diagnóstico:
Arteria subclavia derecha aberrante.




 

