continuaremos con las sesiones después del verano con fuerzas renovadas (espero)
Páginas
▼
una crónica disparatada (LJG)
LJG nos envía una crónica personal y supongo que serena desde el Congreso de la ARS en Málaga con la petición expresa de su publicación en este blog . Se echan de menos algunas imágenes que ilustren lo que cuenta. Ahí va un enlace al texto publicado en su blog .
sesión 15-11(cabeza y cuello) martes 21 de Junio a las 13,45 horas
(*) sesión dirigida por IPP
caso 15-11-01 (VRL)
Varón de 64 años que presenta exoftalmo derecho de varios meses de evolución . Se realiza TC de órbitas con contraste iv




Mujer de 52 años que refiere tumoración laterocervical derecha




solución
caso 15-11-01 (VRL)
Varón de 64 años que presenta exoftalmo derecho de varios meses de evolución . Se realiza TC de órbitas con contraste iv
caso 15-11-02 (RLV)
Mujer de 52 años que refiere tumoración laterocervical derecha
solución
caso 15-1-03 (THC) caso 14-11-02 de la semana anterior
sesión 14-11 (neuro) lunes 13 de Junio a las 13,45 horas(*)
(*) sesión dirigida por IPP
Varón de 49 años , sin hábitos tóxicos, diabétio,hipertenso y dislipémico. Antecedente de ictus isquémico por obstrucción carotídea izquierda. Acude a Urgencias por pérdida de fuerzas en hemicuerpo derecho.







solución
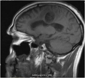
caso 14-11-02 (THC)








enlace
caso 14-11-02 (THC)
Varón de 46 años intervenido hace 10 meses (glioblastoma parietal derecho). Exéresis macroscópicamente completa. Radioterapia concomitante+metozolamida. Ingresa por crisis epiléticas.
sesión 13-11(abdomen ) jueves 9 de Junio a las 13,45 horas (*)
*sesión dirigida por APC
13-11-03 Presentación breve : Histerosalpingografía ( indicaciones , técnica , ejemplos de las patologías más frecuentes etc ) RLV