sesión 09-11 (mama) jueves 7 de abril a las 13,45
09-11-01 Presentación breve : sistema BI-RADS (definición , descriptores y ejemplos) THC
enlace a la presentación
Etiquetas:
mama,
presentaciones
nuevas presentaciones añadidas al blog
Etiquetas:
abdomen,
presentaciones
un ejemplo real como la vida misma

Entre la salud y la enfermedad es un ejemplo real y por desgracia frecuente de la medicina que muchas veces hacemos y contra la que cada vez más gente se rebela .A partir de este caso, en unas jornadas convocadas este fin de semana por estudiantes de medicina de la Universidad de Granada, se reflexionará y discutirá sobre aspectos polémicos de la medicina actual . Da que pensar ....
Etiquetas:
artículos
dos artículos sobre radiaciones
Aquí os dejo estas dos entradas de un blog que sigo : el gerente demediado de Sergio Minué donde se habla del efecto de las radiaciones y de la sobreutilización de la TC . Es interesante consultar alguno de los artículos enlazados.
El Gerente De Mediado: Pensar.Esperar.Observar
El Gerente De Mediado: Riesgos radiactivos: unos mejores que otros
El Gerente De Mediado: Pensar.Esperar.Observar
El Gerente De Mediado: Riesgos radiactivos: unos mejores que otros
Etiquetas:
artículos
artículos seleccionados
GORAD: Selección mensual de artículos de las revistas radiológicas más importantes realizadas por la ISR (para evitar malos entendidos aclaro que esta son las siglas de la International Society of Radiology).
Etiquetas:
artículos
sesión 08-11 (tórax) jueves 24 de marzo a las 13,45
08-11-01 Sesión bibliográfica . Resumen del artículo :
Imaging of Incidental Findings on Thoracic Computed Tomography
Jeffrey B. Alpert MD and David P. Naidich MD Radiologic Clinics of North America Volume 49, Issue 2, March 2011, Pages 267-289. (CPG)08-11-02. Caso problema de radiología torácica
sesión 07-11 (tórax) jueves 17 de marzo a las 13,45
caso 07-11-01 (RLV) *
Varón de 30 años y origen norteafricano que consulta por disnea de cuatro meses de evolución.




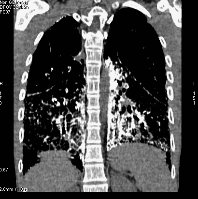
Mujer de 65 años en estudio por disnea progresiva de años de evolución , actualmente es a mínimos esfuerzos.
sesión 06-11 (tórax) jueves 10 de marzo a las 13,45
06-11-01 caso asignado (CMD)
Varón de 58 años que en enero de 2011 ingresa por cuadro de mialgias , astenia intensa , tos y fiebre de 5 días de evolución . Durante su ingreso presenta mal estado general e insuficiencia respiratoria que motiva su ingreso en UCI. Cultivos de esputo negativos. Antigenuria para neumococo y legionella negativos.


soluciónsesión de casos (SRG) martes 8 de Marzo a las 14 horas
Etiquetas:
anuncios
Suscribirse a:
Comentarios (Atom)


