navidad 2011




Felices fiestas a todos




Imagen :  amor entre las ruinas (1894). Edward Burne-Jones 

vida de tutores (*)

(*) tengo que advertir que esta imagen no es de  ahora  sino que pertenece a una época lejana en la que ya se había inventado el teléfono pero todavía no el TCMD


nuevas presentaciones añadidas al blog

RADIOLOGIA SIMPLE DE ABDOMEN (ANATOMÍA Y SEMIOLOGIA BÁSICA) (DAG)

RADIOLOGIA DE LA PANCREATITIS AGUDA (CPG)

RADIOLOGIA DE LA DISECCIÓN AÓRTICA AGUDA (CPG)

sobre oncología (redes)




Un vídeo interesante. En la  entrevista me llamó la atención la autocrítica que se hace en relación a la utilización excesiva de pruebas diagnósticas y de terapias con fines preventivos en el manejo actual del enfermo oncológico y de la necesidad de un abordaje más individualizado basado en el perfil de riesgo de cada paciente.




sesión de casos (neuro). martes 29 de noviembre a las 14 horas. coordina IPP

caso 1 (BFR)
Varón de 74 años con hemiparesia izquierda de varias horas de evolución

TC al ingreso







TC al 4º día 



caso 2 (BFR)
Mujer de 20 años que presenta disfonía, ptosis palpebral y pérdida de audición progresivas.
No AP conocidos.








caso 3 (BFR)

Varón de 31 años sin AP de interés que presenta sensación de opresión y parestesias en dedos de MMII y tronco desde hacia varios meses.
   En la EF se revela nistagmus horizontal y vertical.









series con gadolinio 


solución 


sobre búsquedas bibliográficas



             Una de las cosas más útiles   que nos aporta  internet en nuestro trabajo diario  es la búsqueda de información aplicable a la resolución de casos, preparación de sesiones , redacción  de artículos etc   .


             A diferencia de lo que sucedía cuando yo era residente ( hace muchos -muchísimos años)  hoy , gracias a la red , podemos acceder  fácilmente a una gran cantidad de información aunque con frecuencia  ésta nos resulta  excesiva  y  de una calidad muy variable. La cuestión es cómo y dónde buscar y cómo seleccionar los resultados.  


          El ideal que buscamos es conseguir herramientas que , en el menor tiempo posible , nos aporten documentos de alta calidad que respondan a nuestra necesidad concreta de información . Ahora que estoy en dique seco me propongo hacer un sencillo tutorial sobre este tema . Ya tendréis noticias.

próximas sesiones


Martes 15 de Noviembre a las 14 horas Presentación sobre  anatomía radiológica de abdomen   (DAG). coordina AMS
enlace

Miércoles 16 de Noviembre a las 14 horas . Presentación sobre imagen  básica de tórax ( pleura , mediastino y diafragma) (SRG).

Jueves 17 de Noviembre a las 14 horas . Casos de radiología torácica . (RNP).coordina IPP

4º congreso radiología virtual


en él podréis encontrar nuevos cursos de refresco , posters electrónicos , comunicaciones , casos etc. 


lecturas en la red



En estos días de reposo obligado dedico mucho más tiempo del que acostumbro a curiosear  por la red . Muchas de las cosas que encuentro están  en la sección "los blogs que leo" una  herramienta  que permite hacer un seguimiento de una serie de páginas y ser avisado cuando se publica un nuevo artículo en ellas. Os dejo aquí algunas cosas que me han parecido interesantes

En esta sección podréis encontrar diariamente el enlace a un nuevo caso en ACR  case in point . Resolverlo  es una forma entretenida y fácil  de  repasar un  tema radiológico y  es algo  que recomiendo a los residentes para que lo hagáis cada día .

También os recomiendo  dos entradas del blog "el gerente de mediado" de Sergio Minué. En él siempre podemos encontrar una mirada distinta , muchas veces crítica , sobre cosas que venimos haciendo, que aceptamos como dogmas de fe  y cuya validez  raramente cuestionamos ( creo que vale la pena salir de vez en cuando de nuestras cuatro paredes , de nuestra especialidad y de nuestras revistas) .

En el artículo  "para los cribados nunca hay crisis"  vuelve a tratarse el tema del screening del cancer de mama  que es un tema no cerrado y en el que de forma recurrente se publican algunos trabajos críticos . En este caso se trata más concretamente  de una campaña reciente del gobierno vasco que extiende el programa a mujeres de entre 40 y 50 años y la forma en que lo publicitan . La lectura del artículo y los comentarios a éste invitan a reflexionar sobre la relación que existe entre  salud y política.

El segundo artículo  que tiene el impactante titulo "proteger a los pacientes de los especialistas ¿próximo reto en seguridad? " trata sobre la diferente  forma de trabajar que tienen los médicos de atención primaria y los especialistas  y de la necesidad de que los pacientes sean estudiados y tratados en el nivel asistencial que les corresponde en función a su patología para evitar de este modo costes innecesarios y sobre todo  , aunque parezca paradójico,  mayores riesgos para ellos.

Por último  un enlace no médico , en "Atracadores" el escritor  Antonio Muñoz Molina nos cuenta la historia de Willie Sutton ,un atracador de bancos en los Estados Unidos de los años 30  y lo compara  con nuestros actuales atracadores de cuello blanco.

Espero que os gusten .

Imagen : grupo de gente al sol . E Hopper . 1960


in memoriam



¿Cómo puede morir una mujer o un hombre o un niño, que han sido tantas primaveras y tantas hojas, tantos libros y tantos pájaros y tantas mañanas y noches?. J.L. Borges



Descansa en paz, María. Aunque te  vas, te quedas en nuestra memoria. 


Imagen : La vida . Pablo Picasso. 1903

Próximas sesiones

Martes 25 de Octubre a las 14 horas . Presentación sobre  radiología básica de tórax 2ª  parte (CPF). coordina AMS




Miercoles 26 de Octubre a las 14 horas . Sesión de casos de radiología torácica (BFG). coordina IPP


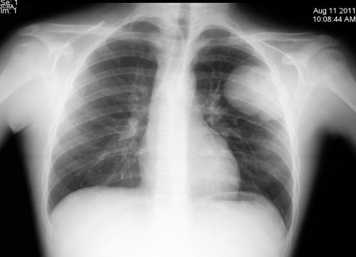
caso 1 Niño de 12 años en estudio por hallazgo anormal en una RX de tórax 





caso 2 Niña de 2 años con disnea y anemia intensa








caso 3 Mujer de 40 años en seguimiento por tumor del estroma gastrointestinal (GIST)




solución




Jueves 27 de Octubre a las 13,30 horas Sesión anatomoclínica del hospital. 





Próximas sesiones

Martes día  18 de octubre a las 14 horas : Radiología simple de tórax: Aspectos técnicos. Proyecciones. Indicaciones. Cómo leer una Rx de tórax. Casos prácticos. (CPF)


enlace a la presentación 


Miércoles día 19 de octubre a las 14 horas :


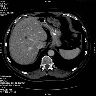
1.-  Presentación de un caso de radiología abdominal . (ARD)
2.-  Caso problema  . (RLV)
Varón de 63 años que consulta por dolor pélvico y tenesmo rectal de dos meses de evolución 








solución




Jueves día 20 de octubre a las 14 horas : Traumatismos faciales  (TRG)

lecturas en la red

Aquí os dejo  tres cosas leídas últimamente en la red y que me han parecido interesantes

la primera es una  entrada del blog "primun non nocere"  (R Bravo) que trata sobre la información que proporcionamos a los pacientes  y de cómo diferentes especialistas pueden proponerles distintos  tratamientos para un mismo problema ( en este caso el cáncer de próstata localizado) en función de cual es la especialidad de cada uno .El artículo se titula "Cuando uno tiene un martillo todo lo que ve son clavos" y , ojo, también vale para los procedimientos diagnósticos.


la segunda es una breve nota que trata sobre lactancia y uso de contrastes para RM tomada del blog Sumer´s Radiology site .

la tercera es el discurso de Steve Jobsfundador y alma de Apple , fallecido hoy , pronunciado en la ceremonia de graduación de la Universidad de Standford en 2005  en la que cuenta una emocionante historia de su vida.


la Dra IPP dijo "ya está bien" y volvemos





La próxima semana reiniciamos la actividad docente con la siguiente programación


Jueves 6 de octubre a las 14 horas .
-Dolor torácico agudo: disección aórtica (CPG)
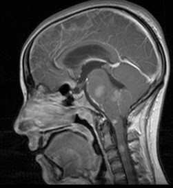
- Caso sencillo de neurorradiología cuyas imágenes podeis ver abajo (AAM)

Varón de 73 años que ingresa en Urgencias con un cuadro de habla incoherente y hemiparesia derecha de aparición brusca

TC al ingreso





RM cinco días después