Páginas
▼
aviso
Queremos poner en la página web las presentaciones que habéis hecho para las sesiones de los miércoles en Urgencias . Para ello os ruego las envieis a la página de correo radiolgiamacarena@gmail.com o las dejéis en el escritorio del ordenador de la sala de informes (el que se utiliza para hacer las presentaciones de los jueves)
sesión 08-2009 (MSK). Viernes 3 de Abril a las 13,45 h
caso 08-09-01 (THC)
Mujer de 33 años que acude por dolor en codo izquierdo de 3 semanas de evolución . No antecedente traumático ni signos inflamatorios.


solución
caso 08-09-02 (FMC)
Varón de 16 años que acude por dolor en rodilla derecha de 4 semanas de evolución . No antecedente traumático ni signos inflamatorios.




solución
caso 08-09-03
Varón de 19 años consulta por dorsalgia , pérdida de peso y astenia de 4 meses de evolución .



Mujer de 33 años que acude por dolor en codo izquierdo de 3 semanas de evolución . No antecedente traumático ni signos inflamatorios.


solución
caso 08-09-02 (FMC)
Varón de 16 años que acude por dolor en rodilla derecha de 4 semanas de evolución . No antecedente traumático ni signos inflamatorios.




solución
caso 08-09-03
Varón de 19 años consulta por dorsalgia , pérdida de peso y astenia de 4 meses de evolución .



sesión 07-2009 (neuro). Jueves 19 de Marzo a las 13,45 h
caso 07-09-01 (CMD)
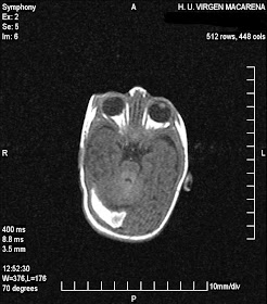
varón de 56 años que ingresa por cuadro brusco de hemiparesia derecha , a las 72 horas hemiplejia y disminución del nivel de conciencia . Las imágenes 1, 2 y 3 corresponden al día del ingreso, las 4 y 5 a las de 72 horas.




Nota : como en este caso el diagnóstico es evidente debería exponerse el qué hacer , como , cuando y para qué en esta patología
solución
caso 07-09-02 (ISR)
varón de 45 años que ingresa por cuadro de cefaleas y desorientación de 3 semanas de evolución





solución
caso 07-09-03 (APC)
varón de 17 años, previamente sano, que consulta por cuadro de disartria y visión borrosa de 2 semanas de evolución .



solución
varón de 56 años que ingresa por cuadro brusco de hemiparesia derecha , a las 72 horas hemiplejia y disminución del nivel de conciencia . Las imágenes 1, 2 y 3 corresponden al día del ingreso, las 4 y 5 a las de 72 horas.




Nota : como en este caso el diagnóstico es evidente debería exponerse el qué hacer , como , cuando y para qué en esta patologíasolución
caso 07-09-02 (ISR)
varón de 45 años que ingresa por cuadro de cefaleas y desorientación de 3 semanas de evolución





solución caso 07-09-03 (APC)
varón de 17 años, previamente sano, que consulta por cuadro de disartria y visión borrosa de 2 semanas de evolución .



solución
sesión 06-2009 (neuro). Viernes 13 de Marzo a las 13,45 h
caso 06-09-01 (ERM)
Mujer de 33 años sin enfermedad conocida que consulta por diplopia de 48 horas de evolución .




solución
caso 06-09-02 (IPR)
Varón de 35 años con infección VIH y muy bajo recuento de CD4. Remitido por pérdida de fuerza en MSD.




solución
caso 06-09-03 (JSF)
Niña de 10 años con perdida de fuerzas en miembros inferiores y dificultad para la deambulación progresivas desde hace 1 año . En el último mes deficit en varios pares craneales.




solución
Mujer de 33 años sin enfermedad conocida que consulta por diplopia de 48 horas de evolución .




solución caso 06-09-02 (IPR)
Varón de 35 años con infección VIH y muy bajo recuento de CD4. Remitido por pérdida de fuerza en MSD.




solución
caso 06-09-03 (JSF)
Niña de 10 años con perdida de fuerzas en miembros inferiores y dificultad para la deambulación progresivas desde hace 1 año . En el último mes deficit en varios pares craneales.




solución
sesión 05-2009 (neuro). Jueves 5 de Marzo de 2009 a las 13,45 horas
caso 05-09-01 (RLV)
varón de 45 años .antecedente de accidente de tráfico 12 horas antes . consciente al ingreso . actualmente disminución severa del nivel de conciencia (glasgow 3) .



solución
caso 05-09-02 (FMC)
varón de 6 días de vida . nacido a término mediante cesarea urgente . remitido por hipotonía generalizada


solución
caso 05-09-03 (VLQ)
varón de 54 años sin enfermedad previa conocida. remitido por cefalea y ligero deterioro cognitivo de 2 meses de evolución.





solución
varón de 45 años .antecedente de accidente de tráfico 12 horas antes . consciente al ingreso . actualmente disminución severa del nivel de conciencia (glasgow 3) .



solución
caso 05-09-02 (FMC)
varón de 6 días de vida . nacido a término mediante cesarea urgente . remitido por hipotonía generalizada


solución caso 05-09-03 (VLQ)
varón de 54 años sin enfermedad previa conocida. remitido por cefalea y ligero deterioro cognitivo de 2 meses de evolución.





solución